처인구일요일치과 성공적인 임플란트치료를

.
치주 질환이란
성인 중 70% 이상이 앓고 있는 구강 질환으로
노화나 구강 관리의 소홀,
음주, 흡연 등으로 인해
치태와 치석이 계속적으로 쌓이게 되면서
치아 주변 조직에 염증을 발생시키고
잇몸과 치조골(잇몸뼈)를
파괴시키는 질환인데요.
.
이로 인해
치아를 단단히 잡고 있어야 하는
잇몸뼈가 녹아
치아를 받치는 힘이 약해지면서
치아가 흔들리게 되고
심한 경우에는 치아 상실로도
이어질 수 있습니다.
.
때문에 잇몸이 자주 붓고 간지럽거나,
잇몸 주위에서 통증이 느껴지는 경우,
잇몸에서 고름이 나오거나 구취가 나는 경우,
찬 음식을 먹으면
치아와 잇몸이 시린 경우 등
.
이러한 증상이 느껴지신다면
가볍게 여겨 방치하지 마시고
빠른 시일 내에 치과에 내원하시어
적절한 치료를 받는 것이 중요합니다.
.
오늘은 앞니와 위턱 왼쪽 어금니 부위의
흔들림과 통증으로 인해
본원에 내원해주신
환자분의 사례를 소개해 드리겠습니다.
.

.
오늘 소개해 드릴
환자분께서는
50대 남성분으로
위턱 왼쪽 어금니와 앞니가 흔들리고
통증이 있어
식사 시 불편감이 생기셨고
통증이 점점 심해져 치료를 위해
본원을 내원해 주셨는데요.
먼저 구강 내에서
불편감을 호소하셨던 부위를
확인해 보았더니
위턱 앞니의 경우 잇몸 퇴축으로 인해
보철물 내부의 치아가
노출되어 있는 상태였으며,
어금니는 동요도가 심하였습니다.
.

.
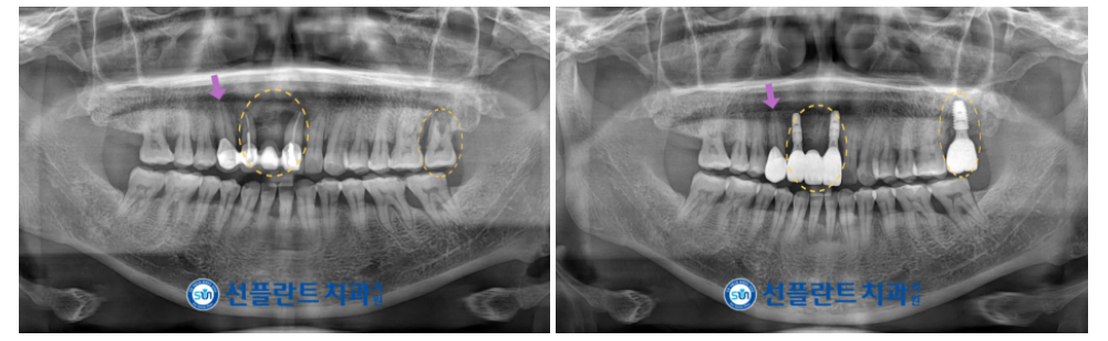
정밀한 검사를 위해
파노라마 사진을
촬영해 보았더니
위턱 앞니(#12,21)와
왼쪽 두 번째 큰 어금니(#27)가
뿌리 끝 염증으로 인해
주변 치조골 소실이 확인되었으며
안타깝지만 예후가 좋지 않아
발치가 불가피한 상황이었는데요.
위턱 앞니의 경우
보라색 화살표 표시의
오른쪽 송곳니(#13)와
보철물이 연결되어 있는 상태였지만
송곳니의 상태는 양호하였기 때문에
.
보철물 제거 후
예후가 좋지 않은 앞니(#12,11)은 발치하고
송곳니(#13)는 따로 크라운 수복을
진행하기로 하였습니다.
..

.
예후가 좋지 않은 치아들은
모두 발치 후
임플란트 수복을 통해
치아의 기능과 심미성을 회복시켜드리기로
치료 계획을 수립하였습니다.
위턱 오른쪽 송곳니(#13)에
손상이 생기기 않도록
조심스럽게
보철물을 제거하는 과정을 거친 뒤
송곳니에는 임시치아를 제작해드렸으며
.
예후기 좋지 않은 치아들은 모두 발치 후
주변 염증 조직을 깨끗하게 제거하고
소독하는 과정을 거쳤는데요.
.
발치 부위의 빠른 회복을 위해
용인선플란트치과에서는
자가혈을 활용한
PRF 치조골 재생술을 진행하였습니다.
.

.
PRF는 환자의 혈액을 채취하여
원심분리 과정을 거친 후
젤리처럼 탄력 있는 구조를 가진
섬유 단백질과
성장인자 층을 확보하는 것으로
PRF를 시술 부위에 부착하게 되면
치조골 재건뿐 아니라
치주 질환으로 인한 잇몸 손실이나
발치 후 빈 공간 회복 등에
도움을 주어
감염 위험을 줄이고
회복을 빠르게 유도해 준다는 장점이 있습니다.
PRF(원심분리) 자가 조직 사용으로
빠른 회복 유도 후
임플란트 식립을 위한
준비를 진행하였는데요.
.

.
본원에서는
파노라마 사진과 3D CT 촬영을 통해
잔존 치조골의 양과 두께,
상악동 막과의 거리,
눈에 보이지 않는 해부학적 구조물 등을
면밀하게 파악하는 과정을 거쳤으며
.
이러한 결과를 토대로
명확한 위치와 방향으로
안정적인 임플란트 식립을 도와드렸습니다.
.
식립 후 충분한 시간이 지났을 때
임플란트와 잇몸뼈가 단단히 결합된 것을
안정적인 수치로 확인한 뒤
.
위턱 오른쪽 송곳니(#13) 보철물을 포함하여
최종 보철물 제작을 위한
인상채득을 진행하였는데요.
.
최종 보철물은
자연치아와 강도가 유사하고
심미적인 지르코니아로
마무리해 드렸습니다.
.

.
모든 치료가 마무리된
구강 내 사진과
파노라마 사진인데요.
.
환자분께서는
그동안 저작 시 통증으로 인해
불편감이 많으셨는데
치료 후 통증이 사라져
식사 시 불편감이 없어 만족해하셨으며,
.
앞니의 치료로 심미성이 개선되어
웃을 때 자신감이 높아지셨다며
이젠 마음 놓고 씹고 웃을 수 있다! 하시며
기뻐하시는 모습을 보니
저희 의료진 역시
뿌듯한 마음이었습니다.
.

초진2024.03.28
종결2024.09.06
.
이렇게 크라운 보철 /
발치 후 임플란트 식립을
도와드린 사례를 소개해 드렸습니다.
.
임플란트는
반영구적으로 사용할 수 있는 치과 재료로
장기적으로 봤을 때 경제적인 치료인데요.
.
.
하지만 관리에 소홀하게 된다면
임플란트 주변으로 염증이 생기는
임플란트 주위염으로 인해
임플란트가 탈락하는
문제가 생길 수 있기 때문에
사후관리가 무엇보다 중요합니다.
.
임플란트와 잇몸 사이를
부드러운 칫솔과 치실을 사용하여
꼼꼼하게 닦아
깨끗하게 관리해 주는 것이 좋으며,
.
딱딱하고 질긴 음식은
임플란트와 보철물을 연결하는 나사를
느슨하게 하거나
보철물 파절로 이어질 수 있기 때문에
가급적 부드러운 음식을
섭취해 주는 것이 좋습니다.
.
또한 흡연과 음주는
임플란트 주위염을 유발하고
임플란트 수명을 단축시키는
주요 원인이기 때문에
금연과 금주를 실천해 주는 것이 좋으며,
.
불편한 부위가 없더라도
정기적인 치과 검진을 통해
임플란트 상태를 확인하고
관리해 주는 것이 좋습니다.
.
처인구일요일치과
용인선플란트치과에서는
풍부한 임상경험과 숙련도를 겸비하신
의료진께서
환자분께 가장 적합하고
필요한 치료만을 도와드리기 위해
항상 노력하고 있습니다.
.
치아의 흔들림이나
불편감이 생기기 시작했다면
더 심각한 문제로 이어지기 전,
처인구일요일치과 용인선플란트치과에
내원해보시길 바랍니다!
.
.
.
.
.
*모든 증례 사진은 의료법 제23조,
제56조에 의거하여
당사자의 동의하에 게시하였습니다.
*치료 사진은 모두 본원에서 치료한
환자분의 사진입니다.
*치료 사진은 모두 동일인의 사진이며,
동일 조건에서 촬영하였습니다.
*개인의 차이에 따라
시술 및 수술 후 부작용이 발생할 수 있으며,
의료진과 충분한 상담을 받으시기 바랍니다.
.